14岁的梦龙最近出现食欲减退、体重下降的现象,时常还伴随着便血、呕吐黄水的情况,主人怀疑是近日在家喂球虫药的时候,将投药器误食的原因所致,带到外院做相关检查后,并未见明显异物,其他指标也未见明显异常。

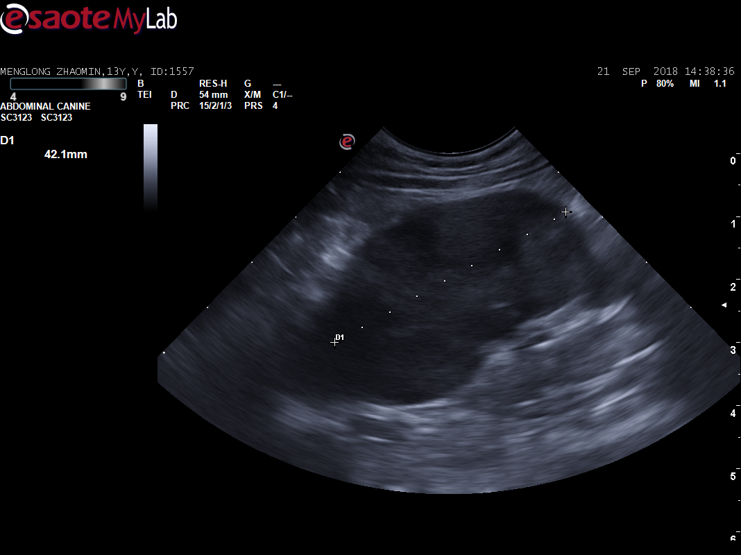
主人叙述2年前体检时,B超检查查出腹腔肿物(直径约6.1CM,场回声团块 ),主人当时选择保守治疗。每天吃完就吐,频繁的呕吐(3-4),导致梦龙体重急剧下降,主人十分担心。到我院初步诊断发现腹部触诊敏感,前腹部大肿物明显,为了准确评估梦龙的情况,医生对梦龙做了X光、生化和B超检查,进一步了解梦龙的身体情况。


B超显示:脾脏弥散性低回声(鉴别肥大细胞瘤、淋巴瘤、充血等),腹部肿物(鉴别淋巴瘤、肥大细胞瘤、肉瘤),肾脏(鉴别肾小球肾炎、慢性肾炎)。

X光显示肺纹理增粗,其他未见异常。
根据影像和检查结果,医生最终确诊为胰腺炎和腹腔肿瘤,先进性住院观察。

经过5天住院治疗,住院期间患猫少量进食,未见呕吐、腹泻,多尿,水和良好,但仍有腹痛感。复查CBC,提示炎症未见下降;基础生化,提示应激;胸腔X线片,未出现转移情况,建议手术切除肿物送检。

切除下来的肿瘤
经过切除肿物及黏连段肠道,实施小肠断端吻合术。并将切下来的肿物送检。

术后由于食欲不佳,前三天通过食道饲管饲喂肠道处方粮。

术后通过食道饲管强饲
术后三日开始正常进食,术后半个月后,在医生的千叮铃,万嘱咐各种注意事项后回家了。

半个月后,复查时精神状态良好。正在一天一天变好。

小结不会说话的宠物比人类更容易“藏”病,除了突发的外伤或者急性发作,你能感知到的只是那些有明显外在症状的疾病。基本上有致命危险的内科病都是缓慢进行和累计的,等你能看出猫狗不正常时,往往已到了疾病后期,它所引发的治疗费用和感情精力耗费都相当大。
尤其老年动物健康的报警器,宠物们一旦到了7岁以上,身体的机能就会逐渐下降,肥胖、嗜睡、骨骼关节老化、免疫功能的下降等都威胁着它们的健康,体检数据就好比如老年动物报警器,只有时刻关注,健康才会常伴它们的左右。